PROF. ANDREA REDLER

DA.MA 2024 ©

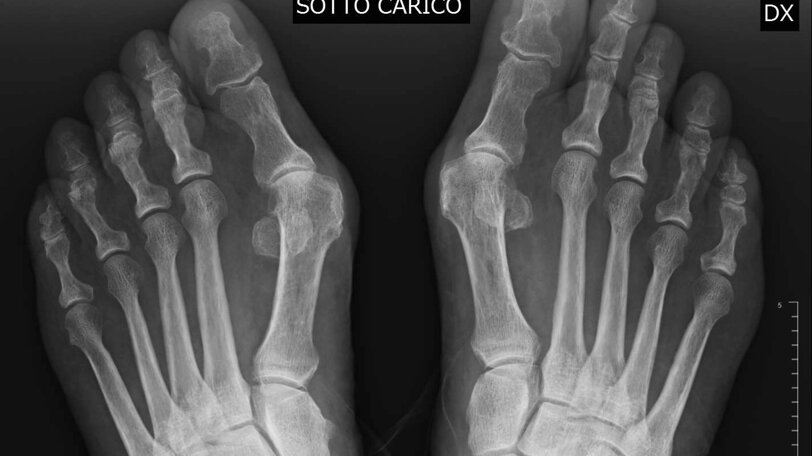
ALLUCE VALGO

1c354e9a0aee19807576e1f91008a963cf8f4823.jpeg

ALLUCE VALGO

L'alluce valgo e' la piu' comune affezione dell'avampiede ed e' caratterizzata dalla deviazione laterale dell'alluce a livello dell'articolazione metatarso-falangea associata ad un aumento dell'angolo tra primo e secondo metatarso (varismo del I metatarso), alla lussazione dei sesamoidi ed alla protrusione dell'eminenza mediale. Puo' essere causato da molti fattori. Tra i fattori intrinseci e' fondamentale la componente genetica, infatti piu' del 60% degli affetti presenta casi analoghi in famiglia. Le calzature sono la principale causa estrinseca, in particolare se con tomaia stretta e tacco alto. Anche il piede piatto puo' predisporre all'alluce valgo. Il paziente lamenta dolore in corrispondenza dell'esostosi ed al di sotto della prima articolazione metatarso-falangea, il dolore aumenta con la scarpa indossata. Spesso puo' essere associato ad arrossamento e tumefazione. L'esame principale e' rappresentato dalle radiografie dei piedi sotto carico nelle due proiezioni, utilizzate per misurare i vari parametri, che contribuiscono a guidare nella scelta del tipo di trattamento da adottare. Gli obiettivi dell'intervento comprendono il sollievo del dolore con una correzione della deformita' ed il ripristino della corretta biomeccanica dell'articolazione. Gli interventi di correzione possono agire solo sulle parti molli, interessare il primo metatarso, o esclusivamente la falange prossimale dell'alluce. Nei casi piu' gravi si puo' ricorrere all'artrodesi, bloccando l'articolazione. Nel periodo post-operatorio il carico e' concesso immediatamente con una calzatura particolare che consente l'appoggio sul retropiede. I pazienti vengono controllati una volta a settimana per la medicazione della ferita chirurgica ed il rinnovo del bendaggio, che dovra' essere mantenuto all'incirca per 6 settimane. Tale periodo varia in funzione del tipo di tecnica adottata per la correzione.

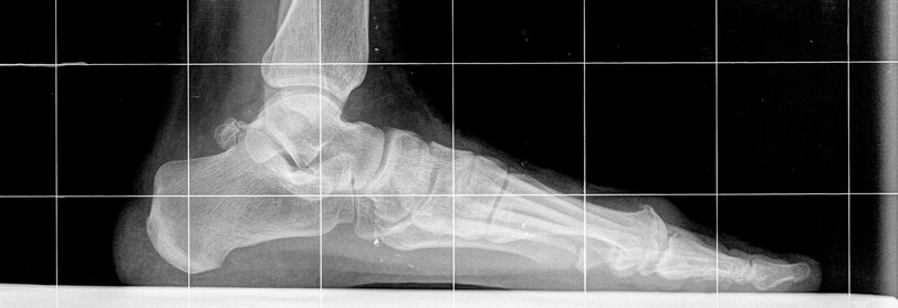
ALLUCE RIGIDO

48b056ab531924b54c76f2af9f21b7ecbbd1e0f4.jpeg

ALLUCE RIGIDO

È una condizione che coinvolge l'alluce che è limitato nei movimenti di flesso estensione. Questa affezione può essere molto dolorosa e disabilitante per l'importanza dell'alluce quando camminiamo, quando ci fermiamo, quando saliamo le scale o quando stiamo in piedi. Le cause comuni di alluce rigido sono alterate funzioni biomeccaniche e strutturali del piede che possono portare a un artrosi della base dell'alluce. E' un dolore progressivo che coinvolge l'articolazione alla base dell'alluce. Causa dolore e rigidità del dito. I movimenti dell'alluce sono sempre minori col passare del tempo, fino ad arrivare all'ultimo stadio che è spesso chiamato frozen joint o articolazione congelata. I sintomi precoci sono dolore e rigidità dell'alluce e la difficoltà mentre si esercitano alcune attività. Progressivamente compaiono dolore a riposo, difficoltà nell'indossare calzature, dolore al ginocchio, all'anca o alla schiena per l'alterata deambulazione. La diagnosi viene effettuata dall'ortopedico che con l'esame obiettivo dell'alluce valuta i gradi di movimento dello stesso. L'esame radiografico è richiesto per determinare il grado di artrosi e per vedere la presenza di osteofiti o anormalità ossee. Se lo stadio è precoce, si possono mettere in atto trattamenti non invasivi che tendono a ritardare l'evoluzione del quadro. Se lo stadio è più avanzato si procederà alla stabilizzazione dell'articolazione e alla sua fusione eliminando il movimento dell'articolazione, ed evitando in questo modo il dolore. Si può eseguire la rimozione dell'osteofita (cheilectomia), eseguire un'artrodesi o l'inserimento di una protesi metatarso-falangea.

DITO A MARTELLO

DITO A MARTELLO

E' una deformità caratterizzata dall'iperestensione dell'articolazione metatarso-falangea l'iperflessione dell'articolazione interfalangea prossimale (ifp) e l'iperestensione dell'articolazione interfalangea distale (IFD). La causa più comune è l'uso prolungato di scarpe inappropriate che comprimono le dita. Un'altra causa può essere una malattia neuromuscolare come la malattia di Charcot-Marie-Tooth, la paralisi cerebrale, la mielo displasia e la sclerosi multipla. Il dito a martello è spesso associato all'alluce valgo che, spingendo contro il secondo dito determina l'estensione dell'articolazione metatarsofalangea. Questa deformità si manifesta più frequentemente nel sesso femminile (6:1) e colpisce prevalentemente il secondo dito. In genere è presente una callosita' dolorosa sulla superficie dorsale dell'articolazione interfalangea prossimale associata ad una callosità sulla superficie plantare sotto la testa metetarsale. E' importante valutare la gravità della patologia. Le deformità flessibili sono correggibili passivamente, quando il paziente sta in piedi, mentre le deformità rigide non possono essere corrette. L'esame principale è rappresentato dalle radiografie dei piedi sotto carico nelle proiezioni antero-posteriore, laterale ed obliqua per valutare l'eventuale degenerazione e le anormalità di allineamento articolare. Solo nelle fasi iniziali è indicato il trattamento conservativo che consiste nell'adottare scarpe a pianta larga con tomaia morbida in grado di accogliere la deformità ed evitare l'uso dei tacchi alti. Si possono anche utilizzare dei tutori elastici, che esercitano una pressione plantare sulla falange prossimale. Nelle fasi più avanzate si ricorre al trattamento chirurgico. Nel dito a martello flessibile puo' essere sufficiente la trasposizione del tendine del flessore pro-estensore. Nelle deformità rigide è indicato l'intervento di resezione-artroplastica che consiste nel rimuovere le superfici articolari della falange prossimale e della falange intermedia e nella successiva stabilizzazione con un filo metallico. Nel periodo post-operatorio il carico è concesso immediatamente con una calzatura particolare che consente l'appoggio sul retropiede. I pazienti vengono controllati una volta a settimana per la medicazione della ferita chirurgica ed il rinnovo del bendaggio. La rimozione del filo è indolore ed avviene ambulatorialmente dopo quattro settimane.