PROF. ANDREA REDLER

DA.MA 2024 ©

ARTROSI DELL'ANCA

10396466dc1e5f04acce22a46181fe17b8959b45.jpeg

COXARTROSI

L'ARTROSI DELL'ANCA (COXARTROSI)

COS'È LA COXARTROSI?

E’ una patologia degenerativa che causa la progressiva perdita della cartilagine articolare dell’anca. I fattori di rischio che ne possono determinare la comparsa sono classificati in: modificabili (traumi, atrofia muscolare, sport ad alto livello, particolari attività lavorative) e non modificabili (sesso femminile, aumentata età, familiarità, displasia congenita dell’anca, epifisiolisi, malattia di Perthes).

COME SI MANIFESTA?

Normalmente il paziente riferisce un dolore all’anca limitante le attività quotidiane, in particolare le camminate. Il dolore si presenta maggiormente di notte o a riposo, può esser presente una rigidità articolare, sensazione di instabilità o blocco articolare. Clinicamente può esser presente una dismetria tra i due arti (diversa lunghezza), una limitazione articolare con perdita della intra-extra rotazione o della flesso-estensione.

DIAGNOSI

La diagnosi è prevalentemente clinica, raccolta una esaustiva anamnesi e dopo un completo esame obiettivo. Per valutare il danno articolare e quindi poter stadiare l’artrosi, vengono eseguite dal paziente delle radiografie del bacino per anche e dell’anca interessata in due proiezioni. Radiograficamente l’artrosi si caratterizza da: restringimento della rima articolare, osteosclerosi, presenza di osteofiti e geodi.

TRATTAMENTO CONSERVATIVO

Il trattamento conservativo è volto ad alleviare la sintomatologia dolorosa e la perdita di articolarità che caratterizzano tale patologia. La somministrazione di farmaci antinfiammatori (FANS) per via orale e l'eventuale infiltrazione eco-guidata di cortisonici (solo in casi selezionati e di solito non superando tre iniezioni per ciclo infiltrativo) sono presidi medici che possono aiutare il paziente a superare i periodi più gravi della patologia. In aggiunta si può ricorrere a cicli di chinesiterapia attiva e assistita volti a mantenere il più possibile elastica la capsula articolare, a evitare la formazione di aderenze e a mantenere un adeguato tono muscolare, quindi a conservare le capacità funzionali esistenti cercando di ritardare il peggioramento dei disturbi. Nella maggior parte dei casi tale terapia si dimostra efficace nel migliorare la qualità di vita, pur non riuscendo a limitare la inevitabile progressione della patologia artrosica.

TRATTAMENTO CHIRURGICO

Il trattamento chirurgico si rende necessario, qualora la terapia medica e la chinesiterapia (prolungata per un periodo non inferiore ai sei mesi) non siano riusciti a dare sollievo efficace al paziente. Il suo scopo non è quello di ripristinare una normale o completa funzione articolare, bensì quello di limitare il più possibile la sintomatologia dolorosa e consentire l'esecuzione delle più comuni attività quotidiane. Il trattamento chirurgico della patologia degenerativa della spalla consiste nella sostituzione dei capi ossei con delle componenti metalliche e di ceramica/polietilene che vanno a ripristinare la corretta biomeccanica della spalla. La scelta di un intervento così importante deve essere ben ponderato, eseguito da personale medico specializzato, e deve essere fatto con la completa collaborazione del pz il quale sarà uno degli artefici della buona riuscita dell'intervento.

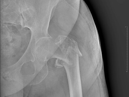
FRATTURE DI FEMORE

5139c84b803ec37b4cdd5a1451adbaf8c704efaf.jpeg
49e6497d63c2772855bf05f35980b0a8665c6e5e.jpeg

FRATTURE DI FEMORE


EPIDEMIOLOGIA

L’Italia è il secondo paese (dopo il Giappone) con la più alta percentuale di over 65, pari al 21% e destinata a divenire il 39% circa nel 2050. In Italia nel 2007 le fratture di femore nell’anziano sono state 92000, pari a circa il 75% delle fratture, con un costo attuale di 590 milioni di euro legati alla sola ospedalizzazione.

FATTORI DI RISCHIO

L'osteoporosi che è tra le principali cause di frattura del femore nell'anziano, non riguarda solo le donne in menopausa, ma può manifestarsi anche prima e può colpire anche gli uomini. Altre cause di osteoporosi secondaria:
• assunzione di farmaci (ad esempio cortisone, anticoagulanti);
• malattie endocrine e metaboliche (ad esempio diabete di tipo I o II, iperparatiroidismo)
• Alterazioni nutrizionali (celiachia, malassorbimento intestinale,)
• Altro (osteogenesi imperfetta, artrite reumatoide, mieloma, HIV, trapianti).
Se nelle persone anziane la rottura del femore deriva normalmente da traumi cosiddetti a bassa energia, come le cadute, nei giovani, negli sportivi e nei bambini il femore rotto normalmente deriva da traumi ad alta energia, come incidenti o cadute durante attività sportiva.

CLASSIFICAZIONE

Si dividono in:
• Laterali: sottotrocanteriche, pertrocanteriche, basicervicali
• Mediali: sottocapitata, transcervicale
Questa classificazione è importante per la vascolarizzazione della testa femorale, infatti le fratture mediali del collo femore determinano l'interruzione di questa e se non trattate con sostituzione protesica, la testa femorale andrà incontro a necrosi asettica.

DIAGNOSI

Clinicamente il paziente presenta frequentemente dolore in sede inguinale, che aumenta con i movimenti dell'anca. In condizioni di fratture particolarmente composte (ingranate) il quadro clinico è paucisintomatico con il paziente che può addirittura deambulare. Nella maggior parte dei casi l'arto appare extra-ruotato ed accorciato rispetto al controlaterale (condizione che può venir meno nelle fratture mediali).
L'indagine diagnostica principale per poter eseguire la diagnosi è la radiografia dell'anca, ma in alcuni casi, soprattutto nei casi di frattura ingranata, può esser necessaria l'esecuzione di una TC. Raramente la RM è utilizzata per la diagnosi.

TRATTAMENTO CHIRURGICO

Il trattamento delle fratture di collo femore è prevalentemente chirurgico, compatibilmente con le condizioni cliniche del paziente. Nelle fratture laterali, l'intervento consiste nella riduzione della frattura e la sua stabilizzazione con una chiodo cervico-diafisario.
Le fratture mediali possono esser trattate:
-artroprotesi: soggetti normalmente con età inferiore 75-80 anni, in discrete condizioni cliniche, generalmente autosufficienti. Da valutare eventualmente una artroprotesi a doppia mobilità nei soggetti affetti da grave demenza o malattie neurologiche.
-endoprotesi: soggetti con minor richiesta funzionale, generalmente con più di 80 anni.
-osteosintesi con viti: intervento riservato a soggetti con frattura ingranata, in caso di fallimento e necrosi della testa femorale, si valuta a distanza di qualche mese il posizionamento di una artroprotesi.