DA.MA 2024 ©

E’ una patologia degenerativa che causa la progressiva perdita della cartilagine articolare del ginocchio. I fattori di rischio che ne possono determinare la comparsa sono classificati in: modificabili (traumi, atrofia muscolare, sport ad alto livello, elevato BMI) e non modificabili (sesso femminile, aumentata età, familiarità, malattie metaboliche e reumatiche).
Normalmente il paziente riferisce un dolore al ginocchio limitante le attività quotidiane, in particolare le camminate. Il dolore si presenta maggiormente di notte o a riposo, può esser presente una tumefazione legata all'idrarto, può esser presente una rigidità articolare, sensazione di instabilità o blocco articolare. Clinicamente può esser presente una deviazione assiale dal normale asse meccanico dell'arto inferiore (normalmente il centro della caviglia è in asse con il centro della testa del femore), una limitazione articolare con perdita della intra-extra rotazione o della flesso-estensione.
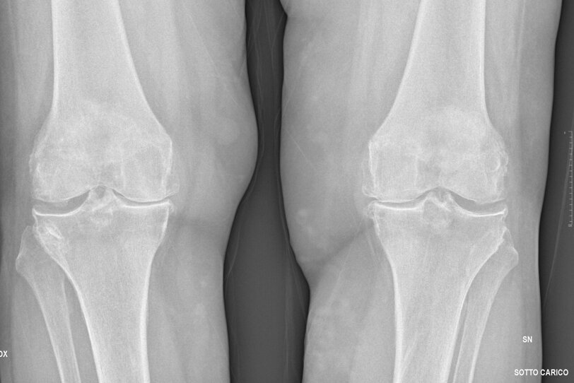
La diagnosi è prevalentemente clinica, raccolta una esaustiva anamnesi e dopo un completo esame obiettivo. Per valutare il danno articolare e quindi poter stadiare l’artrosi, vengono eseguite dal paziente delle radiografie del ginocchio, in due proiezioni, possibilmente sotto carico, in modo da poter valutare l'allineamento dell'arto e completare il planning pre-operatorio. Radiograficamente l’artrosi si caratterizza da: restringimento della rima articolare, osteosclerosi, presenza di osteofiti e geodi.
Il trattamento conservativo è volto ad alleviare la sintomatologia dolorosa e la perdita di articolarità che caratterizzano tale patologia. La somministrazione di farmaci antinfiammatori (FANS) per via orale e l'eventuale infiltrazione di cortisonici (solo in casi selezionati e di solito non superando tre iniezioni per ciclo infiltrativo) o di acido ialuronico, sono presidi medici che possono aiutare il paziente a superare i periodi più gravi della patologia. In aggiunta si può ricorrere a cicli di chinesiterapia attiva e assistita volti a mantenere il più possibile elastica la capsula articolare, a evitare la formazione di aderenze e a mantenere un adeguato tono muscolare, quindi a conservare le capacità funzionali esistenti cercando di ritardare il peggioramento dei disturbi. Nella maggior parte dei casi tale terapia si dimostra efficace nel migliorare la qualità di vita, pur non riuscendo a limitare la inevitabile progressione della patologia artrosica.
Il trattamento chirurgico si rende necessario, qualora la terapia medica e la chinesiterapia (prolungata per un periodo non inferiore ai sei mesi) non siano riusciti a dare sollievo efficace al paziente. Il suo scopo non è quello di ripristinare una normale o completa funzione articolare, bensì quello di limitare il più possibile la sintomatologia dolorosa e consentire l'esecuzione delle più comuni attività quotidiane. Il trattamento chirurgico della patologia degenerativa del ginocchio consiste nella sostituzione dei capi ossei con delle componenti metalliche e di polietilene che vanno a ripristinare la corretta biomeccanica del ginocchio. La scelta di un intervento così importante deve essere ben ponderato, eseguito da personale medico specializzato, e deve essere fatto con la completa collaborazione del pz il quale sarà uno degli artefici della buona riuscita dell'intervento.

Il Legamento crociato anteriore (LCA) è il principale stabilizzatore statico del ginocchio e costituisce insieme al legamento crociato posteriore il pivot centrale. E’ una struttura intra-articolare, la cui origine femorale è da ricercare sulla superficie mediale del condilo femorale esterno nella porzione posteriore della gola intercondiloidea. Il legamento decorre poi anteriormente, distalmente e medialmente verso la sua origine tibiale. E’ costituito da due fasci: antero-mediale e postero-laterale.
Tradizionalmente i meccanismi traumatici che portano la lesione del LCA sono da dividere in:
• Valgo rotazione esterna: la prima struttura ad esser messa in tensione è il legamento collaterale mediale (LCM), più precisamente il fascio superficiale, poi il LCA ed in casi più rari si ha il coinvolgimento del legamento collaterale esterno (LCL) o del legamento crociato posteriore (LCP).
• Varo rotazione interna: La prima struttura messa in tensione è il LCA, seguito dalle strutture antero-laterali e dal LCL, spesso viene coinvolto il corno posteriore del menisco esterno, più raramente il mediale.
• Iperflessione: tendenzialmente comporta la lesione del corno posteriore del menisco interno, ma qualora si assista alla brusca contrazione del quadricipite si può avere una traslazione anteriore della tibia su femore che causa la rottura del LCA.
• Iperestensione: Più frequentemente coinvolge il LCP, ma in alcuni casi si può avere una lesione isolata del LCA con un meccanismo a “Ghigliottina” nella gola femorale.
La diagnosi di rottura del LCA è prevalentemente clinica. In primo luogo il paziente associa al trauma distorsivo una sensazione di “crack” e di instabilità del ginocchio. Altro dato da non sottovalutare è l’emartro, che si sviluppa solitamente 12 ore dopo la lesione. Test clinici per una corretta e completa valutazione articolare sono:
• Lachman test: con il ginocchio flesso a 30° il femore viene tenuto con una mano dall’operatore, mentre l’altra traziona la tibia in avanti. E’ il test più specifico per il LCA.
• Pivot shift: Paziente supino, l’esaminatore mantiene la gamba intraruotata con l’anca flessa a circa 45°ed il ginocchio a 60° esercitando un valgo stress sulla porzione prossimale della gamba; successivamente si estende gradualmente il ginocchio mantenendo lo stress in valgo e l’intrarotazione. Se il test è positivo, nel passaggio tra i 30°di flessione e l’estensione si percepisce uno scatto ( JERK ) legato alla brusca riduzione di una sublussazione patologica (PIVOT-SHIFT) in intrarotazione del ginocchio.
La valutazione radiografica sicuramente può fornire ulteriori informazioni, oltre che identificare altre lesioni. Nelle radiografie con proiezione AP si può evidenziare la frattura di Segond, segno indiretto di lesione del LCA in cui si ha l’avusione nel piatto tibiale esterno di un piccolo frammento da parte del legamento antero-laterale.
Sicuramente di maggior aiuto è la risonanza magnetica del ginocchio, in grado di poter valutare con maggior precisione lesioni del LCA e lesioni associate.
Il trattamento immediato delle lesioni del LCA è prevalentemente riabilitativo, nel periodo infatti che intercorre tra il trauma e l’intervento chirurgico, che preferibilmente dovrebbe esser in acuto (entro 10 giorni), si incoraggia sempre un recupero del ROM ed esercizi in isometria per recuperare il tono quadricipitale. L’indicazione chirurgica deve prendere in considerazione alcune variabili: età del paziente, attività sportiva, il grado di instabilità rotatoria e le lesioni associate soprattutto quelle meniscali.
Sebbene una ricostruzione del LCA prevenga lesioni meniscali, allo stato attuale nessuna evidenza scientifica con un lungo follow-up dimostra che questo intervento sia in grado di prevenire o comunque rallentare la degenerazione articolare, dunque l’indicazione chirurgica rimane sempre paziente-dipendente.
Per quanto riguarda le tecniche di ricostruzione del LCA, il primo punto da affrontare riguarda la scelta del trapianto: allograft o autograft. Mentre l’utilizzo dei primi sono associati ad un più alto numero di fallimenti, specie nei giovani sportivi, gli autograft (tendine rotuleo – BPTB, semitendinoso e gracile – HS, tendine quadricipitale –QT) mostrano risultati molto simili e la scelta spesso ricade quasi esclusivamente sull’esperienza del chirurgo. Il BPTB è stato per un lungo periodo considerato il trapianto “gold standard” per la ricostruzione del LCA, ma negli ultimi 10 anni l’utilizzo degli hamstrings è molto aumentato, fino addirittura a sorpassarlo.

I menischi, due per ginocchio, uno interno ed uno esterno, sono due organi fibrocartilaginei a forma semilunare e sezione triangolare, interposti fra femore e tibia all'interno dell'articolazione del ginocchio. Assolvono a diverse funzioni prima fra tutte quella di ammortizzatori delle sollecitazioni di carico, come dei veri e propri cuscinetti in grado di assorbire e ridistribuire le forze trasmesse dal femore alla tibia durante la stazione eretta e la deambulazione. Per questa loro funzione sono dotati di una certa libertà di movimento che consente loro di adattarsi alle varie situazioni sia normali che patologiche (traumi distorsivi). Nonostante questa loro elasticità i menischi possono andare incontro a lesione che non solo ne compromette la funzione ma che talora rappresenta per il ginocchio un elemento di rischio di malfunzionamento e quindi di comparsa o aggravamento di altre patologie. Da tenere presente che, col passare degli anni, i menischi vanno incontro a degenerazione (meniscosi), molto chiaramente evidenziabile con la risonanza magnetica che però, entro certi limiti, può essere considerata fisiologica.
Si distingue una patologia congenita da una acquisita, quest'ultima può avere origine traumatica o degenerativa. Le alterazioni congenite dei menischi colpiscono quasi esclusivamente il menisco esterno che assume una forma a disco pieno (menisco discoide): si manifesta generalmente durante l'adolescenza con fenomeni di scatto e blocco articolare talora particolarmente eclatantii. In altri casi il menisco discoide può decorrere asintomatico per molti anni e manifestarsi solo in età adulta o addirittura evidenziarsi come reperto accidentale nel corso di risonanze magnetiche eseguite per altri motivi. La patologia traumatica colpisce soggetti giovani spesso durante l'attività sportiva a causa di sollecitazioni distorsive: in questo caso la lesione meniscale può essere isolata o associata a lesioni legamentose, in particolare quella del legamento crociato anteriore. Le lesioni degenerative si verificano invece a causa del progressioi indebolimento del tessuto meniscale legato al processo di invecchiamento (meniscosi); sono caratteristiche dell'età adulta matura e possono verificarsi per traumi di minima entità o addirittura senza che il paziente si renda conto di aver riportato alcun trauma. Un meccanismo tipico di rottura meniscale è rappresentato dal momento di rialzarsi dalla posizione accovacciata. In alcuni casi le lesioni degenerative del menisco esterno possono dar luogo ad una cisti parameniscale il cui significato clinico tuttavia non si discosta da quello delle altre lesioni del menisco esterno.
I sintomi della lesione meniscale (sindrome meniscale) sono rappresentati dal dolore, localizzato elettivamente in corrispondenza di uno dei menischi, dal gonfiore articolare, dall'ipotrofia del quadricipite e in alcuni casi dal "blocco" meccanico dell'articolazione che si verifica a seguito dello spostamento all'interno dell'articolazione di un frammento di menisco che impedisce l'estensione del ginocchio costringendo il paziente a mantenere il ginocchio flesso. Il blocco può essere temporaneo e risolversi spontaneamente o a seguito di particolari manovre, o permanente.
Il trattamento delle lesioni meniscali consiste nella maggior parte dei casi nella asportazione della porzione rotta di menisco eseguita per via artroscopica (meniscectomia parziale selettiva). In alcuni particolari casi di lesione, soprattutto in quelle associate a lesione legamentosa, può trovare indicazione la sutura del menisco (meniscopessi) eseguita allo scopo di conservarne la funzione. I tempi di recupero e di ritorno allo sport delle lesioni meniscali isolate trattate in artroscopia mediante menisicectomia variano in funzione di vari parametri e sono di solito contenuti in 2/3 giorni per la ripresa delle normali attività e in 3/6 settimane per il ritorno allo sport con tempi un po' più lunghi per gli interventi sul menisco esterno. I rischi e le complicanze delle mensicectomie artroscopiche sono gli stessi degli altri interventi artroscopici (vedi artroscopia di ginocchio). Nelle meniscosi senza franche rotture il trattamento è invece conservativo in quanto un menisco integro, ancorchè degenerato, svolge ancora in parte il proprio prezioso ruolo senza rischio di danno ad altre strutture, per cui ogni sforzo indirizzato alla sua conservazione deve essere considerato pienamente giustificato.
Non vi è dubbio che i menischi svolgano un ruolo importante nei movimenti del ginocchio e che l'asportazione anche di una parte di uno di essi possa provocare dei cambiamenti nella biomeccanica articolare. Più in particolare la struttura che più risente della mancanza di un cuscinetto di protezione è la cartilagine articolare che viene a sopportare carichi maggiori del normale. Tuttavia in ginocchia con normale asse di carico e in assenza di altre lesioni (legamentose in primo luogo) una meniscectomia parziale selettiva non è destinata a provocare neppure col tempo alterazioni significative dal punto di vista clinico. Diverso è il discorso in caso di lesioni meniscali associate a lesioni legamentose o in caso di rilevanti deviazioni assiali del ginocchio (ginocchio varo o valgo); in questo caso la meniscectomia può effettivamente causare col tempo alterazioni significative della cartilagine articolare fino alla vera e propria artrosi del ginocchio. Per questo motivo vengono oggi sperimentati interventi di sostituzione meniscale con tessuti sintetici o di derivazione umana (trapianti da cadaveri) la cui reale efficacia nella prevenzione del danno artrosico non è tuttavia stata ancora dimostrata ed il cui impiego è limitato a casi molto selezionati.
Il legamento crociato posteriore Il legamento crociato posteriore (LCP) è un robusto legamento posto al centro del ginocchio subito dietro al legamento crociato anteriore (LCA). Svolge la funzione di controllare gli spostamenti posteriori della tibia sul femore con scarsissimo effetto sul controllo delle rotazioni del ginocchio. Per questo motivo le conseguenze della sua rottura sulla percezione dell'instabilità da parte del paziente sono assai inferiori rispetto a quelli della rottura del LCA. Il legamento crociato posteriore si rompe in seguito a traumi diretti portati sul ginocchio dall'avanti all'indietro (scontri in uscita del portiere di calcio, traumi automobilistici "da cruscotto"). La diagnosi di rottura del LCP è clinica e si basa sulle caratteristiche del trauma e sulla presenza di un segno clinico specifico, il cosiddetto Cassetto Posteriore la cui entità tuttavia non è sempre uguale potendo essere lieve (+) moderata (++) o grave (+++) . La risonanza magnetica potrà confermare la diagnosi pur senza dare alcuna indicazione sulla gravità dell'instabilità articolare che resta patrimonio della valutazione clinica. Il trattamento delle rotture isolate del LCP, quando cioè gli altri legamenti del ginocchio non hanno subito danni, è generalmente conservativo e si basa su esercizi di potenziamento del quadricipite, in grado di eliminare qualunque sensazione di instabilità anche durante lo svolgimento delle attività sportive. Il trattamento chirurgico trova indicazione nei casi di lesioni del LCP associate ad altri danni legamentosi di rilievo e nelle gravi instabilità posteriori (+++). Le tecniche chirurgiche ed i tempi di recupero degli interventi di ricostruzione del LCP sono simili in grandi linee a quelli delle ricostruzione del LCA.
La rotula viene stabilizzata attivamente dal vasto mediale obliquo e passivamente dal legamento patello-femorale mediale (MPFL), che origina dal femore tra il tubercolo degli adduttori ed il condilo femorale mediale e si inserisce sulla rotula.
L'instabilità rotulea è una condizione caratterizzata da episodi di sublussazione o dislocazione della rotula in seguito a lesioni, lassità legamentosa o aumento dell'angolo Q del ginocchio.
Si verifica più comunemente nella 2°-3° decade di vita, con un'incidenza maggiore nel sesso femminile.
Sono diversi i fattori di rischio identificati:
FATTORI GENERALI:
• lassità legamentosa (sindrome di Ehlers-Danlos)
• precedente evento di instabilità rotulea
• "sindrome da malallineamento": sindrome caratterizzata da aumentodell'angolo Q, antiversione del femore, genu valgum e torsione tibiale esterna / piede pronato
FATTORI ANATOMICI:
• ossei: rotula alta, displasia del condilo femorale esterno, tilt esterno della rotula, displasia trocleare
• muscolari: displasia del vasto mediale obliquo (VMO), iperazione del vasto laterale o della bendelletta ileo-tibiale.
Si dividono in:
• Acute: Spesso è un evento traumatico a causare la lussazione della rotula;
• Croniche: La cattiva guarigione e la predisposizione anatomica, possono causare nuoni episodi di lussazione rotulea;
• Abituali: Normali movimenti di flesso-estensione del ginocchio possono causare la lussazione, con il paziente che spesso riesce a ridurla autonomamente.
Clinicamente il paziente presenta frequentemente dolore in sede anteriore del ginocchio, maggiormente in sede mediale, impossibili sono i movimenti di flesso-estensione ed è spesso associata ad emartrosi (liquido ematico nel ginocchio).
L'indagine diagnostica principale per poter eseguire la diagnosi è la radiografia dell'ginocchio, ma in alcuni casi, soprattutto quando è necessario approfondire le cause della lussazione, possono esser necessari degli approfondimenti TC o RMN.
Normalmente è riservato al primo epidio di lussazione. La riduzione è facilmente eseguibile estendendo il ginocchio ed applicando una leggera spinta in senso latero-mediale sulla rotula, accompagnando la stessa in sede. L'immobilzzazione in valva a gambaletto o tutore bloccato a ginocchiera è mantenuta per 4 settimane, di cui le prime due fuori carico. Alla rimozione della contenzione, si comincerà la fisioterapia per il recupero muscolare e dell'articolarità. Il tasso di recidiva varia dal 15-50%.
Il trattamento chirurgico in acuto è normalmente riservato a pazienti con frammenti ossei intra-articolari, che sono rimossi artroscopicamente associando o meno la sutura del legamento MPFL.
MPFL ricostruzione: Intervento riservato a pazienti con lussazioni croniche o abituali, consiste nell'utilizzare un autograft (viene prelevato il semitendinoso dalla stessa gamba) per ricostruire il legamento lesionato e fissato con mezzi di sintesi;
Elmsie-Trillat: Intervento di riallineamento dell'apparato estensore in cui si esegue: una plastica di avanzamento del VMO, lateral release (rilasciamento delle strutture capsulari laterali del ginocchio), medializzazione della tuberosità tibiale.
La tendinopatia dei tendini rotuleo e quadricipitale, nota anche col nome di "ginocchio del saltatore" per la frequenza con cui si manifesta in atleti impegnati in attività di salto (saltatori in lato e lungo, giocatori di pallavolo e pallacanestro) è caratterizzata da dolore localizzato elettivamente in uno dei tre punti che costituiscono il fulcro del movimento di flesso estensione del ginocchio: polo superiore ed inferiore della rotula, tuberosità tibiale anteriore. Si tratta di una tendinopatia inserzionale, affezione che colpisce elettivamente la giunzione osteo-tendinea, in grado di provocare dolore di intensità variabile, talora anche molto intenso, ad ogni sollecitazione in estensione del ginocchio (salti) o dopo permanenza in posizione seduta a ginocchio flesso. Trattandosi di una patologia tendinea extraarticolare l'articolazione del ginocchio vera e propria è assolutamente indenne e priva di segni patologici.
La diagnosi di tendinopatia rotulea è essenzialmente clinica e si basa sulla descrizione dei sintomi così come fatta dal paziente e sulla ricerca dei punti dolorosi tipici della malattia. Le indagini strumentali (radiografie, ecografia, risonanza magnetica) confermano generalmente la presenza di alterazioni strutturali del tendine (ispessimento, perdita della normale struttura fibrillare, calcificazioni) ma molto raramente condizionano la strategia terapeutica che si basa essenzialmente sulla gravità dei sintomi che variano da una semplice dolenzia che si manifesta solo al termine di sforzi particolarmente intensi fino ad un dolore continuo, presente anche a riposo, che impedisce la pratica dello sport.
La tendinopatia rotulea è una delle affezioni più resistenti alle varie forme di trattamento e quindi più difficile da curare in maniera definitiva. La fisiocinesiterapia rappresenta la forma più utilizzata soprattutto nelle fasi iniziali. Il potenziamento isometrico del quadricipite, lo stretching dei flessori e la ginnastica eccentrica dello stesso quadricipite rappresentano il cardine di questa terapia, spesso in grado di controllare sufficientemente i sintomi soprattutto nell'arco della stagione agonistica. In associazione alla ginnastica, eseguita secondo rigidi protocolli, possono essere di qualche utilità le varie forme di terapia fisica vera e propria. Forme più moderne ed aggressive di fisioterapia come le onde d'urto focalizzate possono risultare efficaci anche nel promuovere la rigenerazione cellulare e stimolare il vero e proprio processo riparativo, anche se ancora mancano dei protocolli chiari e condivisi sui dosaggi e sui tempi di riposo da osservare in corso di trattamento. Le infiltrazioni con fattori di crescita di derivazione piastrinica da sangue prelevato dallo stesso paziente rappresentano un'altra opzione terapeutica promettente e largamente usata anche se, come per le onde d'urto, non esiste ancora una prova certa di efficacia e soprattutto un protocollo univoco di trattamento sia nel numero delle infiltrazioni sia nella metodica di preparazione del concentrato piastrinico. Le infiltrazioni di cortisone, per lungo tempo bandite per il rischio di rottura tendinea (ampiamente sopravvalutato e legato a situazioni di abuso e cattivo uso del farmaco) sono state più recentemente rivalutate e possono trovare indicazione (dopo attentissima valutazione medico specialistica) in casi selezionati e soprattutto in pazienti alla vigilia di eventi sportivi "irrinunciabili". Il trattamento chirurgico (sia a cielo aperto che artroscopico) trova indicazione in meno del 10% dei casi e solo dopo il fallimento delle terapie conservative. I risultati sono buoni in circa il 75% dei casi ma il ritorno allo sport richiede spesso dai 4 ai 6 mesi.
I nostri bambini crescono e questo crea a volte, soprattutto quando praticano in maniera intensa attività sportive come il calcio, il basket, la pallavolo o il tennis, qualche disturbo doloroso del ginocchio. I maschi dell'età di 10-14 anni e, meno frequentemente, le femmine dai 9 ai 12 anni possono incorrere in un problema dell'accrescimento noto come apofisite tibiale anteriore o morbo di Osgood Schlatter.
Questa situazione, dal nome decisamente preoccupante ma dall'andamento costantemente benigno, consiste nell'insorgenza, in assenza di particolari traumi, di un dolore della regione anteriore del ginocchio. Inizialmente è presente sotto sforzo, diminuisce durante l'attività fisica ed aumenta nuovamente nelle ore successive all'impegno sportivo. Nelle fasi più avanzate il dolore può essere tale da far soffrire anche per il semplice sfregamento di vestiti sulla parte infiammata, rende impossibile l'atto di inginocchiarsi con la superficie anteriore del ginocchio a contatto con il pavimento e provoca una tumefazione caratteristica che altera il profilo della regione anteriore del ginocchio. Si manifesta spesso in entrambe i lati, e può accompagnare, con disturbi più o meno intensi, anche per anni l'accrescimento dei nostri piccoli.
Il tendine rotuleo è un grosso tendine, situato tra la rotula e la tibia, che trasmette le enormi sollecitazioni dal quadricipite (il muscolo anteriore della coscia che è il più grande del corpo) alla gamba (attraverso la sua piccola inserzione sulla tuberosità tibiale anteriore). Mentre nell'adulto questo può provocare solamente una tendinopatia, nell'adolescente in accrescimento la immaturità del punto osseo su cui si inserisce il tendine crea un disturbo da trazione che coinvolge tendine e osso, causando una frammentazione del nucleo di accrescimento della tuberosità tibiale anteriore.
Dopo aver confermato con una visita il sospetto diagnostico è generalmente utile eseguire un esame radiografico del ginocchio che mostra un aspetto caratteristico del nucleo sofferente. Mentre un tempo veniva prescritto un periodo di 3-6 mesi di riposo assoluto, oggi si cerca di ridurre gli stimoli che mantengono la patologia attraverso alcuni provvedimenti come:
• modificazione dell'attività sportiva con riduzione della frequenza e dell'intensità degli allenamenti che può arrivare, nei casi più gravi, anche alla sospensione completa
• corretto riscaldamento all'inizio dell'attività sportiva
• un adeguato programma di stretching da eseguire prima e dopo l'attività sportiva
• esercizi di potenziamento muscolare
• evitare il sovraccarico funzionale intenso come variazioni dell'intensità del programma di allenamento, balzi ed esercizi pliometrici (balzi dall'alto verso il basso con rapida contrazione muscolare), terreni di gioco pesanti
• applicazione della borsa di ghiaccio dopo le attività sportive per 15-20 minuti
• eventuale applicazioni, dietro prescrizione medica, di farmaci antinfiammatori per uso locale
• uso di appositi tutori o bendaggi applicati al di sotto della rotula per consentire una riduzione degli stress sull'inserzione ossea.
L'intervento chirurgico è riservato solamente ai rarissimi casi in cui il problema non si risolve al termine dell'accrescimento e si trova un ossiculo distaccato nel contesto del tendine rotuleo che provoca il perdurare della sintomatologia.